দাঁতের সুরক্ষায় ওরাল এ্যান্ড ম্যাক্সিলোফেসিয়াল সার্জন
ডা. আশরাফ আলী বিশ্বাস রিয়াদ
এর সাথেই থাকুন
বিডিএস (ঢাকা), এমডিএস (চায়না), ট্রেইনিং ইন ইমপ্ল্যান্ট (মালয়েশিয়া)
এ্যাসোসিয়েট ফেলো ইন লেজার ডেন্টিস্ট্রি (ভারত)
সহকারী অধ্যাপক ওরাল
এ্যান্ড ম্যাক্সিলোফেসিয়াল সার্জারি
শমরিতা মেডিকেল কলেজ এ্যান্ড হসপিটাল
ইনচার্জ ডেন্টাল ইউনিট
ইনসাফ বারাকা কিডনি এ্যান্ড জেনারেল হসপিটাল
ডাক্তার রিয়াদের চিকিৎসার দর্শন
সহকারী অধ্যাপক ডা. আশরাফ আলী বিশ্বাস রিয়াদ একজন ওরাল ও ম্যাক্সিলোফেসিয়াল সার্জন। অভিজ্ঞতা, দক্ষতা এবং রোগীর আস্থাই তাঁর শক্তি। তিনি আধুনিক প্রযুক্তি ও পেইনলেস টেকনিক ব্যবহার করে প্রতিটি রোগীকে নিরাপদ ও মানসম্মত চিকিৎসা প্রদান করেন।
তাঁর লক্ষ্যঃ রোগীর আস্থা ও আত্মবিশ্বাসী হাসি ফিরিয়ে আনা।
আমাদের সেবাসমূহ
আমাদের আধুনিক প্রযুক্তি ও যত্নশীল হাতে সম্পূর্ণ ডেন্টাল সল্যুশন
আপনার হাসিকে আরও সুন্দর করে তুলবে।
রুট ক্যানাল ট্রিটমেন্ট (পেইনলেস RCT)
দাঁতের ভিতরের সংক্রমণ দূর করতে রুট ক্যানাল থেরাপি অত্যন্ত কার্যকরী। আধুনিক প্রযুক্তিতে ব্যথাহীন দাঁত রক্ষা।
স্কেলিং ও পলিশিং
দাঁতের ময়লা ও প্লাক পরিষ্কার করতে স্কেলিং সেবা প্রদান করা হয়। ঝকঝকে দাঁত, ফ্রেশ ও কনফিডেন্ট হাসি।
ক্রাউন ও ব্রিজ
ভাঙা বা হারানো দাঁতের নিখুঁত রিপ্লেসমেন্ট।
ডেন্টাল ইমপ্ল্যান্ট
প্রাকৃতিক দাঁতের মতো স্থায়ী সমাধান।
ওরাল ও ম্যাক্সিলোফেসিয়াল সার্জারি
জটিল মুখ ও চোয়ালের সমস্যার নিরাপদ চিকিৎসা।
শিশুদের দাঁতের যত্ন
কেয়ারিং হাতে ছোট্টদের হাসির সুরক্ষা।
নতুন সেবা জানুন
আপনার প্রথম আপডেট পেতে সাবস্ক্রাইব করুন
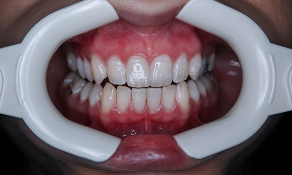
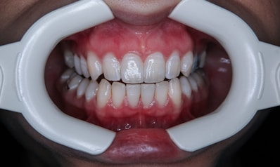
স্মাইল গ্যালারী
রোগীদের হাসির পরিবর্তন, ছোট পরিবর্তনই ফিরিয়ে আনে বড় আত্মবিশ্বাস।
বারবার জিজ্ঞাসিত প্রশ্ন
আপনাদের ডেন্টাল পরিষেবা কি কি?
আমাদের পরিষেবাগুলোর মধ্যে RCT, স্কেলিং, ইমপ্ল্যান্ট, স্মাইল মেকওভার এবং চাইল্ড ডেন্টিস্ট্রি অন্তর্ভুক্ত।
কিভাবে অ্যাপয়েন্টমেন্ট নেব?
আপনি আমাদের ওয়েবসাইটে বুকিং ফর্ম পূরণ করে অথবা কল/WhatsApp করে অ্যাপয়েন্টমেন্ট নিতে পারেন।
ডেন্টিস্টের অভিজ্ঞতা কেমন?
ডা. রিয়াদ একজন অভিজ্ঞ ডেন্টিস্ট, যিনি রোগীদের সেবা দিতে প্রতিশ্রুতিবদ্ধ।
ক্লিনিকের ঠিকানা কি?
আমাদের ক্লিনিকের ঠিকানা চাঁরফ্যাসন, ভোলা। গুগল ম্যাপে দেখতে পারেন।
সেবা নিতে কি প্রস্তুতি?
সেবা নেওয়ার আগে আপনার ডেন্টাল ইতিহাস জানানো উচিত।
ডেন্টাল পরিষেবা কতটা নিরাপদ?
আমাদের পরিষেবাগুলি সর্বোচ্চ নিরাপত্তা ও স্বাস্থ্যবিধি মেনে পরিচালিত হয়।
ওরাল এ্যান্ড ম্যাক্সিলোফেসিয়াল সার্জন
কুইক লিংকস
ডেন্টাল ব্লগ পড়ার জন্যে
+880 1726-187603
© 2025. All rights reserved.
Design, Developed & Maintenance by TYL

প্রাইভেসি পলিসি
Terms & Conditions
Privacy Policy
Refund Policy
